Zahnbehandlungen gleich Zahnbehandlungen? NEIN!
Die Standards variieren von Praxis zu Praxis erheblich und damit auch die Kosten. Wir möchten Ihnen mit dieser Fotostrecke transparent machen, wie bei uns eine
Die Zahngesundheit unserer Tiere ist genauso wichtig wie die Zahngesundheit von uns Menschen. Daher sind Zahnkontrollen und bei Bedarf Zahnbehandlungen bei fast jedem Tier früher oder später notwendig.
Zum einen, um dem Tier Zahnschmerzen zu ersparen bzw. zu nehmen. Zum anderen um den Körper, vor allem Herz und Nieren, durch die Entzündungen im Maul nicht dauerhaft zu schädigen.
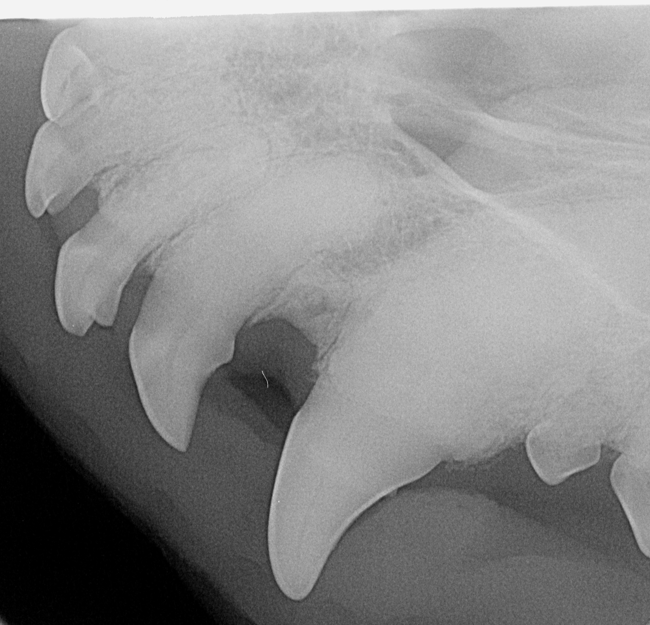
In vielen Fällen ist es ratsam, sich die Zähne in Narkose nicht nur von außen zu betrachten, sondern von ihnen samt Zahnwurzeln Röntgenbilder anzufertigen, um eine ganz differenzierte Beurteilung und
Behandlung vornehmen zu können. Dies ist mit unserem Dentalröntgen für all unsere Kleintiere, also Hunde, Katzen,kleine Heimtiere, Exoten usw. bestens möglich. Weitere Informationen finden Sie unter Leistungen „Zahn und Zahnfleischbehandlungen“.

